伟德国际官网在线

  • 重点摘自2021年11月号

    2021年11月1日

    为了庆祝肾脏周,整个2021年11月发行的AJKD在2021年11月19日之前都是免费的。编者按:我们要求原始调查的作者提供简短的简明语言总结,以[...]
  • Box 1 from Rajora et al, AJKD © National Kidney Foundation

    " data-medium-file="//www.svt123.com/wp-content/uploads/2021/10/2021-10-Rajora-Box-1-300x251.png" data-large-file="//www.svt123.com/wp-content/uploads/2021/10/2021-10-Rajora-Box-1.png" data-lazy-srcset="//www.svt123.com/wp-content/uploads/2021/10/2021-10-Rajora-Box-1-300x225.png?crop=1 300w, //www.svt123.com/wp-content/uploads/2021/10/2021-10-Rajora-Box-1-400x300.png?crop=1 400w, //www.svt123.com/wp-content/uploads/2021/10/2021-10-Rajora-Box-1-200x150.png?crop=1 200w, //www.svt123.com/wp-content/uploads/2021/10/2021-10-Rajora-Box-1-174x131.png?crop=1 174w, //www.svt123.com/wp-content/uploads/2021/10/2021-10-Rajora-Box-1-70x53.png?crop=1 70w" data-lazy-sizes="(max-width: 300px) 100vw, 300px" data-lazy-src="//www.svt123.com/wp-content/uploads/2021/10/2021-10-Rajora-Box-1-300x225.png?crop=1&is-pending-load=1" srcset="data:image/gif;base64,R0lGODlhAQABAIAAAAAAAP///yH5BAEAAAAALAAAAAABAAEAAAIBRAA7">
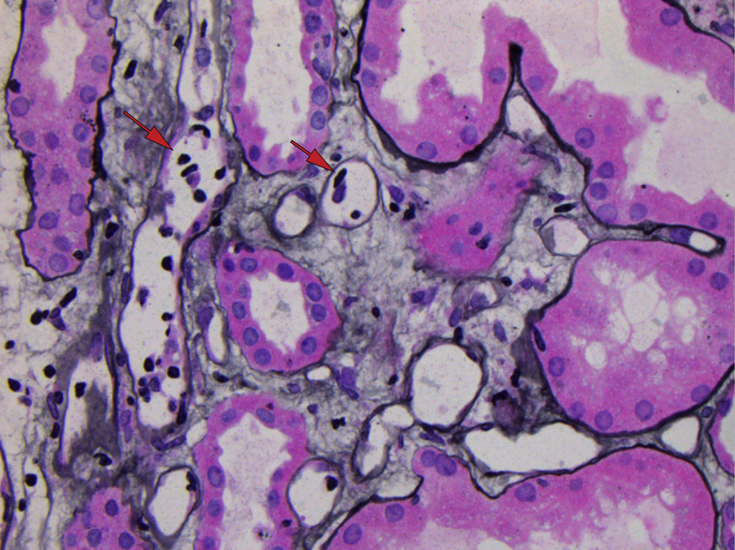
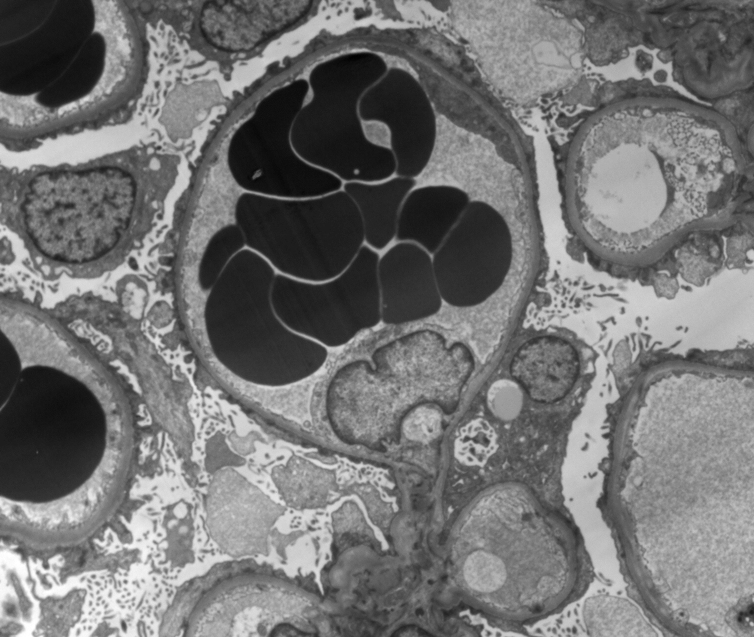
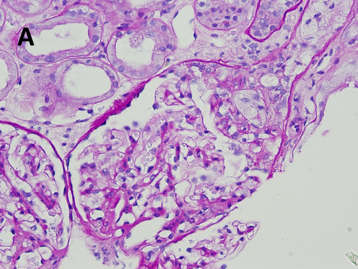
    在过去几年中,我个人遇到的许多患者都与Rajora等人最近发表的AJKD in Practice文章中讨论的小插曲如出一辙。该患者患有丙型肝炎肝硬化、腹水和肝硬化[...]
  • 19462211伟德国际

    2021年10月13日

    Vondracek等人最近的AJKD核心课程解决了药物治疗的广泛话题。在这篇文章中,作者讨论了基本原理,并对几种常用的分类作了全面的概述19462211伟德国际
  • 19463331伟德

    2021年10月1日

    编者注:我们要求《原始调查》的作者提供简短的通俗语言总结,简要总结他们的研究灵感是什么,采用的基本方法,学到了什么,以及为什么这样做19463331伟德
  • Wetmore et al, AJKD © National Kidney Foundation

    " data-medium-file="//www.svt123.com/wp-content/uploads/2021/09/FINAL-20-1324-Wetmore-Visual-Abstract-for-SoMe-300x168.png" data-large-file="//www.svt123.com/wp-content/uploads/2021/09/FINAL-20-1324-Wetmore-Visual-Abstract-for-SoMe-1024x574.png" data-lazy-srcset="//www.svt123.com/wp-content/uploads/2021/09/FINAL-20-1324-Wetmore-Visual-Abstract-for-SoMe-300x225.png?crop=1 300w, //www.svt123.com/wp-content/uploads/2021/09/FINAL-20-1324-Wetmore-Visual-Abstract-for-SoMe-1200x900.png?crop=1 1200w, //www.svt123.com/wp-content/uploads/2021/09/FINAL-20-1324-Wetmore-Visual-Abstract-for-SoMe-800x600.png?crop=1 800w, //www.svt123.com/wp-content/uploads/2021/09/FINAL-20-1324-Wetmore-Visual-Abstract-for-SoMe-400x300.png?crop=1 400w, //www.svt123.com/wp-content/uploads/2021/09/FINAL-20-1324-Wetmore-Visual-Abstract-for-SoMe-200x150.png?crop=1 200w, //www.svt123.com/wp-content/uploads/2021/09/FINAL-20-1324-Wetmore-Visual-Abstract-for-SoMe-174x131.png?crop=1 174w, //www.svt123.com/wp-content/uploads/2021/09/FINAL-20-1324-Wetmore-Visual-Abstract-for-SoMe-70x53.png?crop=1 70w" data-lazy-sizes="(max-width: 300px) 100vw, 300px" data-lazy-src="//www.svt123.com/wp-content/uploads/2021/09/FINAL-20-1324-Wetmore-Visual-Abstract-for-SoMe-300x225.png?crop=1&is-pending-load=1" srcset="data:image/gif;base64,R0lGODlhAQABAIAAAAAAAP///yH5BAEAAAAALAAAAAABAAEAAAIBRAA7">
    心房颤动(AF)是慢性肾脏病(CKD)患者最常见的心律失常,患病率接近24.5%。这是65岁及以上普通成年人口的2倍多[...]

2021年11月

通过电子邮件关注博客:

Baidu